The Bezos Earth Fund has announced a $2 million grant to the University California, Davis, the American Heart Association and other partners to advance “Swap it Smart” as part of its AI for Climate & Nature Grand Challenge. The funding will support research that could help redesign foods, for example optimizing for flavor profile, nutritional properties and lower costs and environmental impact.
At the inaugural AI Innovation Showcase and Prem Jain Symposium, hosted by the UC Davis College of Engineering, faculty, students, alumni and industry partners explored cutting-edge research, startups and programs, emphasizing the importance of collaboration to advance AI.
Professor Yayoi Takamura’s lab has been named this year’s winner of the Grand Prize for Lab Safety at UC Davis. Undergraduate Lab Manager Bill Doering was also recognized with this quarter’s Safety Star.
At LBNL’s mechanical engineering summer internship, undergraduate student Jack Hervey learned how much he enjoys the hands-on aspects of engineering, from modeling support structures to vibration testing, which involves hitting things with a sledgehammer.
With a contract for up to $40 million from the Advanced Research Projects Agency for Health (ARPA-H), an ambitious multi-institutional research team led by Virginia Tech and including researchers at the University of California, Davis, aims to create just such a system.
New co-directors of UC Davis’ AHMCT, Shima Nazari and Iman Soltani, will expand on implementing automation, electrification and AI technologies with Caltrans — building on a 30-year legacy of collaboration, mentorship and smarter transportation solutions.
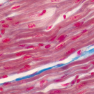
How does skin hold you in? How do heart cells beat together? Researchers at the University of California, Davis, Department of Biomedical Engineering, are exploring how structures called desmosomes, which stick cells together, function and react to mechanical stress.
Professor of Mechanical and Aerospace Engineering Seongkyu Lee will contribute to the $9 million South Korea-based center with his expertise in high-fidelity computational fluid dynamics. His group will be the first to investigate and predict mid- and high-frequency tonal and broadband noise emitted from UAM vehicles.
ResearchQuest.ai is a new AI agent that scours academic papers for anything related to the query. The new tool, built by student researchers through E-SEARCH, could cut down a literature review from months to minutes.
High school students from the Capital region will be invited to explore biotechnology, AI and precision manufacturing through hands-on learning experiences at UC Davis in a program led by Professor of Biomedical Engineering Marc Facciotti.